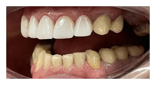
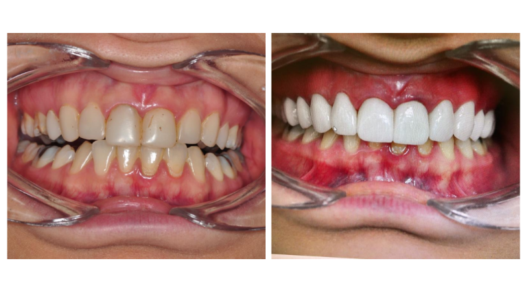
All-in-one Dental Solution
Are you having trouble with biting foods? Is drinking cold or hot beverages painful for you? Is a dark spot on your front teeth bothering you in the mirror?
Acacia Dental Treatment Services has a solution for it all.
We provide patient-focused care and the best in modern dental treatments. Our state-of-the-art dental technology and skilled dental practitioners ensure you receive excellent treatment.
- Dental Root Canal Treatment
- Dentures
- Dental fillings treatment
- Emergency Dental Care
-
Cleaning and Regular Check-ups
- Kids Dentistry










